-ช่วยสร้างความมั่นใจให้กับรอยยิ้มของคุณ
-ช่วยให้ช่องปากสะอาดมากขึ้น
-มีผลการรักษาที่อยู่ได้นานกว่า 2 ปี
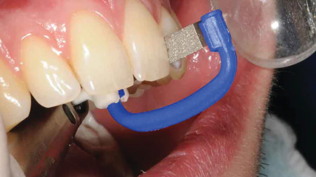
-ไม่ทำอันตรายต่อตัวฟัน ไม่มีการกรอฟัน ไม่ทำให้คนไข้สูญเสียเนื้อฟัน
-เรารักษาด้วยเครื่องมือที่มีคุณภาพ พร้อมให้บริการการครบ จบในที่เดียว
-คุณหมอสุภาพ มือเบา แนะนำวางแผนการรักษาด้วยความเข้าใจ พร้อมให้การรักษาดูแลฟันของคุณ
-สบายใจหายห่วง กับมาตรการณ์ Social Distancing ของทางคลินิก ที่ดูแลอย่างเคร่งครัด สะอาดและปลอดภัยทุกขั้นตอน
