เลือดออกตามไรฟัน

เลือดออกตามไรฟัน เกิดจากอะไร วิธีดูแลอย่างไรให้เหงือกแข็งแรง

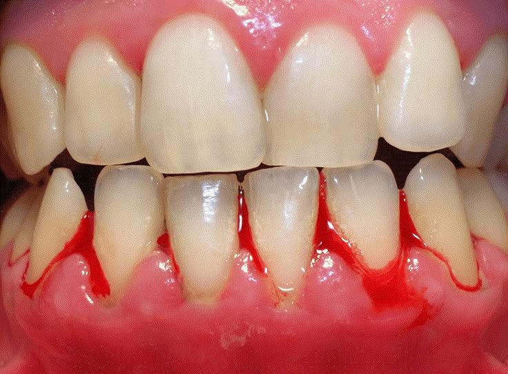
เลือดออกตามไรฟันเป็นอาการที่หลายคนอาจมองข้าม แต่จริงๆ แล้วเป็นสัญญาณเตือนสำคัญของสุขภาพเหงือกที่เริ่มไม่แข็งแรง โดยเฉพาะเวลาที่แปรงฟัน ใช้ไหมขัดฟัน หรือแม้กระทั่งกินอาหารแล้วพบว่ามีเลือดปนในน้ำลาย อาการนี้อาจดูเล็กน้อย แต่หากเกิดขึ้นบ่อยครั้งควรรีบหาสาเหตุ เพราะอาจเป็นจุดเริ่มต้นของโรคเหงือกอักเสบ หรือโรคปริทันต์ที่ทำให้ฟันโยกและหลุดได้ในอนาคต

สาเหตุของเลือดออกตามไรฟัน

เลือดออกตามไรฟันเกิดได้จากหลายปัจจัย ทั้งพฤติกรรมการดูแลช่องปากไม่ถูกวิธี และปัจจัยทางสุขภาพร่างกาย เช่น

  • คราบพลัคและหินปูนสะสม: คราบแบคทีเรียเกาะตามขอบเหงือก หากไม่ขจัดออกจะทำให้เหงือกอักเสบและมีเลือดออกง่าย

  • แปรงฟันแรงเกินไป: การใช้แปรงขนแข็งหรือออกแรงมากเกินไปทำให้เหงือกถลอก

  • ใช้ไหมขัดฟันผิดวิธี: การสอดไหมขัดฟันกระแทกเหงือกแรงเกินไปอาจทำให้เลือดออก

  • ขาดวิตามินซี: ทำให้หลอดเลือดเปราะ เหงือกบวม และเลือดออกง่าย

  • ตั้งครรภ์หรือฮอร์โมนเปลี่ยนแปลง: โดยเฉพาะในผู้หญิงที่มีการเปลี่ยนแปลงของฮอร์โมนเอสโตรเจน ทำให้เหงือกไวต่อการอักเสบ

  • โรคประจำตัว: เช่น เบาหวาน โรคเลือด หรือผู้ที่ใช้ยาต้านการแข็งตัวของเลือด

อาการร่วมที่มักพบเมื่อมีเลือดออกตามไรฟัน

อาการเลือดออกมักมาพร้อมกับสัญญาณอื่นที่บ่งบอกถึงภาวะเหงือกอักเสบ เช่น

  • เหงือกบวม แดง หรือเจ็บขณะสัมผัส

  • มีกลิ่นปากแม้แปรงฟันสม่ำเสมอ

  • มีเลือดออกทุกครั้งหลังแปรงฟัน

  • ฟันโยกเล็กน้อย หรือรู้สึกว่าช่องว่างระหว่างฟันกว้างขึ้น

  • มีคราบหินปูนเกาะตามขอบเหงือก

  • เหงือกร่นจนเห็นคอฟัน

หากปล่อยไว้โดยไม่รักษา เหงือกจะอักเสบเรื้อรังและลุกลามสู่โรคปริทันต์ ซึ่งเป็นสาเหตุสำคัญของการสูญเสียฟันในผู้ใหญ่

เลือดออกตามไรฟันรักษายังไง
เลือดออกตามไรฟันรักษายังไง

เลือดออกตามไรฟันอันตรายไหม

หลายคนอาจคิดว่าแค่เลือดออกเล็กน้อยไม่เป็นไร แต่ในความเป็นจริง มันคือสัญญาณเริ่มต้นของปัญหาที่อาจลุกลามได้ เช่น

  • เหงือกอักเสบเรื้อรัง ทำให้เหงือกถอยและฟันโยก

  • โรคปริทันต์ ที่ทำลายเนื้อเยื่อและกระดูกที่ยึดฟันไว้

  • การติดเชื้อเข้าสู่กระแสเลือดในผู้ที่มีภูมิคุ้มกันอ่อนแอ

  • กลิ่นปากถาวรที่เกิดจากแบคทีเรียสะสม

ดังนั้น การมีเลือดออกตามไรฟันไม่ควรละเลย และควรเข้าพบทันตแพทย์เพื่อตรวจหาสาเหตุโดยเร็ว

วิธีรักษาเลือดออกตามไรฟัน

การรักษาขึ้นอยู่กับสาเหตุของอาการ โดยทั่วไปจะเน้นการดูแลสุขภาพช่องปากให้สะอาดและลดการอักเสบของเหงือก

1. ปรับวิธีแปรงฟัน

  • ใช้แปรงขนนุ่ม แปรงเบาๆ ในมุม 45 องศาให้สัมผัสขอบเหงือก

  • แปรงฟันอย่างน้อยวันละ 2 ครั้ง และแปรงทุกซอกอย่างทั่วถึง

2. ใช้ไหมขัดฟันหรือแปรงซอกฟัน

ช่วยกำจัดคราบแบคทีเรียระหว่างซี่ฟันที่แปรงฟันเข้าถึงไม่ได้

3. ใช้น้ำยาบ้วนปากที่มีสารต้านแบคทีเรีย

เช่น Chlorhexidine หรือ Cetylpyridinium Chloride เพื่อลดจำนวนเชื้อในช่องปาก

4. ขูดหินปูนกับทันตแพทย์

หากสาเหตุเกิดจากคราบหินปูน ควรเข้ารับการขูดหินปูนและขัดฟันทุก 6 เดือน เพื่อป้องกันการอักเสบซ้ำ

5. รักษาโรคปริทันต์

ในกรณีที่อาการรุนแรงจนลุกลาม อาจต้องขูดหินปูนใต้เหงือก หรือผ่าตัดเหงือกเพื่อกำจัดเนื้อเยื่ออักเสบโดยทันตแพทย์เฉพาะทาง

เลือดออกตามไรฟันบ่อย
เลือดออกตามไรฟันบ่อย

วิธีป้องกันไม่ให้เลือดออกตามไรฟันเกิดซ้ำ

  • แปรงฟันถูกวิธีทุกวัน เช้าและก่อนนอน

  • ใช้ไหมขัดฟันเป็นประจำ

  • รับประทานอาหารที่มีวิตามินซีสูง เช่น ส้ม ฝรั่ง คะน้า

  • งดสูบบุหรี่และลดการดื่มแอลกอฮอล์

  • พบทันตแพทย์เพื่อตรวจสุขภาพช่องปากทุก 6 เดือน

  • ดื่มน้ำให้เพียงพอเพื่อช่วยลดการสะสมของคราบจุลินทรีย์

เลือดออกตามไรฟันกับโรคปริทันต์

โรคปริทันต์เป็นผลลัพธ์จากการละเลยอาการเหงือกอักเสบในระยะเริ่มต้น เมื่อเชื้อแบคทีเรียสะสมเป็นเวลานาน จะทำลายกระดูกรอบฟัน ทำให้เหงือกถอย ฟันโยก และอาจต้องถอนฟันในที่สุด

สัญญาณเตือนของโรคปริทันต์ เช่น

  • เหงือกร่นจนเห็นคอฟัน

  • ฟันโยกหรือขยับได้

  • มีหนองหรือกลิ่นปากแรง

  • ปวดเหงือกเป็นๆ หายๆ

โรคปริทันต์สามารถรักษาได้หากตรวจพบตั้งแต่ระยะต้น ด้วยการขูดหินปูน ล้างร่องเหงือก และดูแลความสะอาดช่องปากอย่างต่อเนื่อง

สรุป เลือดออกตามไรฟันไม่ใช่เรื่องเล็ก

อาการเลือดออกตามไรฟันอาจดูเหมือนปัญหาเล็กๆ แต่เป็นสัญญาณเตือนของโรคเหงือกที่ต้องใส่ใจ หากปล่อยไว้อาจลุกลามจนทำให้สูญเสียฟันได้ การแปรงฟันอย่างถูกวิธี ดูแลสุขภาพช่องปาก และเข้าพบทันตแพทย์สม่ำเสมอคือกุญแจสำคัญในการป้องกัน

คำถามที่พบบ่อย

เลือดออกตามไรฟันเกิดจากอะไร?
มักเกิดจากเหงือกอักเสบจากคราบพลัคหรือแปรงฟันแรงเกินไป รวมถึงขาดวิตามินซี

เลือดออกตอนแปรงฟันทุกวันผิดปกติไหม?
ถือว่าไม่ปกติ เพราะเป็นสัญญาณของเหงือกอักเสบ ควรรีบพบทันตแพทย์เพื่อตรวจรักษา

แปรงฟันแรงๆ แล้วเลือดออก ควรหยุดแปรงไหม?
ไม่ควรหยุด ควรเปลี่ยนมาใช้แปรงขนนุ่มและแปรงอย่างเบามือแทน

เลือดออกตามไรฟันรักษาได้ไหม?
รักษาได้ หากดูแลความสะอาดช่องปากและเข้ารับการขูดหินปูนอย่างสม่ำเสมอ

เลือดออกตามไรฟันมีกลิ่นปากร่วมด้วยทำไงดี?
ควรตรวจหาสาเหตุที่แน่ชัด เพราะอาจเกิดจากเหงือกอักเสบหรือโรคปริทันต์ ควรให้ทันตแพทย์ประเมิน

แนะนำบริการจาก Beyond Smile Dental Clinic

หากคุณกำลังมีอาการเลือดออกตามไรฟัน เหงือกบวม หรือมีกลิ่นปาก
Beyond Smile Dental Clinic คลินิกทันตกรรมครบวงจรในจังหวัดระยอง
พร้อมให้บริการตรวจวินิจฉัย รักษาเหงือกอักเสบ ขูดหินปูน รักษาโรคปริทันต์ และดูแลสุขภาพช่องปากโดยทันตแพทย์ผู้เชี่ยวชาญ

เรามุ่งเน้นการรักษาอย่างอ่อนโยน ปลอดภัย และใส่ใจในรายละเอียด เพื่อให้คุณกลับมามีสุขภาพเหงือกแข็งแรง ยิ้มสวย และมั่นใจในทุกวัน

อ่านเพิ่มเติม:

You can share this post!

Facebook
LinkedIn
Email
Print