ฟันผุเป็นปัญหาสุขภาพช่องปากที่หลายคนเคยประสบ ไม่ว่าจะเป็นเด็กหรือผู้ใหญ่ก็ตาม การเข้าใจว่าฟันผุเกิดจากอะไร และวิธีรักษาที่ถูกต้อง จะช่วยให้เราป้องกันไม่ให้โรคฟันลุกลามจนต้องเสียฟันไปอย่างถาวร ซึ่งการดูแลสุขภาพฟันไม่ได้ยากเกินไป เพียงแค่ใส่ใจในรายละเอียดเล็กน้อยก็ช่วยให้ยิ้มสวยและมีสุขภาพฟันแข็งแรงได้ยาวนาน
ฟันผุคืออะไร
ความหมายของฟันผุ
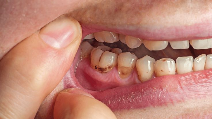
ฟันผุคือการที่เนื้อฟันถูกทำลายจากกรดที่เกิดจากแบคทีเรียในช่องปาก เมื่อฟันผุเกิดจากอะไรที่เรามองข้ามไป เช่น การแปรงฟันไม่สะอาด คราบอาหารตกค้าง และน้ำตาลที่สะสมในช่องปาก สิ่งเหล่านี้จะทำให้แบคทีเรียสร้างกรดกัดกร่อนผิวฟันจนเกิดเป็นรู ซึ่งถ้าปล่อยทิ้งไว้โดยไม่รักษา จะลุกลามไปถึงเนื้อฟันชั้นในและทำให้ปวดฟันอย่างรุนแรง
ความรุนแรงและระดับของฟันผุ
ความรุนแรงของฟันผุแบ่งออกได้หลายระดับ ตั้งแต่ผิวฟันด้านนอกจนถึงโพรงประสาทฟัน ยิ่งตรวจพบเร็วก็ยิ่งรักษาได้ง่าย การรู้ว่าฟันผุเกิดจากอะไรตั้งแต่ต้นจึงเป็นสิ่งสำคัญ เพราะจะช่วยให้รักษาได้ทันท่วงที เช่น การอุดฟันง่ายๆ แทนที่จะต้องรักษารากฟันหรือถอนฟันออกไป
| ระดับฟันผุ | ลักษณะอาการ | วิธีรักษาเบื้องต้น |
|---|---|---|
| ฟันผุระยะเริ่มต้น | มีจุดขาวหรือคราบสีน้ำตาล | เคลือบฟลูออไรด์ |
| ฟันผุปานกลาง | มีรูเล็กๆ บนผิวฟัน | อุดฟัน |
| ฟันผุรุนแรง | รูใหญ่ ลึกจนปวดฟัน | รักษารากฟันหรือครอบฟัน |
| ฟันผุถึงโพรงประสาท | เจ็บรุนแรง ฟันแตก | ถอนฟัน |
ฟันผุเกิดจากอะไร
คราบจุลินทรีย์และแบคทีเรียในช่องปาก
สาเหตุหลักของฟันผุเกิดจากอะไรที่เราควรรู้คือคราบจุลินทรีย์ คราบเหล่านี้จะเกาะอยู่ตามซอกฟันและเหงือก หากไม่ได้ทำความสะอาดก็จะสะสมและเปลี่ยนเป็นกรดที่กัดกร่อนฟัน
การบริโภคอาหารและเครื่องดื่มที่มีน้ำตาลสูง
น้ำตาลในอาหารและเครื่องดื่มเป็นตัวเร่งให้แบคทีเรียทำงานมากขึ้น ฟันผุเกิดจากอะไรนั้น มักเกี่ยวข้องกับพฤติกรรมการกิน เช่น น้ำอัดลม ขนมหวาน หรือชานมไข่มุกที่กำลังนิยม
การแปรงฟันไม่ถูกวิธีและไม่สม่ำเสมอ
แม้จะแปรงฟันทุกวัน แต่ถ้าแปรงฟันไม่ถูกวิธีก็อาจทำให้คราบสกปรกตกค้าง ฟันผุเกิดจากอะไรที่หลายคนไม่ทันคิดก็คือการละเลยจุดเล็กๆ อย่างซอกฟันหรือฟันด้านใน
พันธุกรรมและโครงสร้างฟัน
บางคนมีโครงสร้างฟันที่ทำให้เกิดฟันผุได้ง่าย ฟันซี่เล็กหรือมีร่องฟันลึกก็ทำให้คราบสะสมได้มากขึ้น การเข้าใจว่าฟันผุเกิดจากอะไรในกรณีนี้ จะช่วยให้ป้องกันด้วยการหมั่นตรวจสุขภาพฟันอย่างสม่ำเสมอ

อาการของฟันผุที่ควรสังเกต
อาการเริ่มต้นของฟันผุ
ฟันผุเกิดจากอะไรในช่วงแรกอาจไม่แสดงอาการชัดเจน แต่จะมีจุดขาวหรือคราบน้ำตาลเล็กๆ บนฟัน
อาการฟันผุขั้นรุนแรง
เมื่อฟันผุเกิดจากอะไรที่ถูกปล่อยทิ้งไว้นาน จะทำให้เกิดรูชัดเจน มีกลิ่นปาก ปวดฟันเมื่อกินของร้อนหรือเย็น
ความแตกต่างระหว่างฟันผุทั่วไปกับโรคเหงือก
ฟันผุเกิดจากอะไรนั้นต่างจากโรคเหงือกที่เกิดจากการอักเสบ การสังเกตอาการให้ชัดเจนจะช่วยเลือกวิธีรักษาที่ถูกต้อง
วิธีรักษาฟันผุที่ถูกต้อง
การอุดฟัน
หากฟันผุเกิดจากอะไรที่ไม่รุนแรง ทันตแพทย์มักแนะนำให้อุดฟันเพื่อป้องกันไม่ให้ลุกลาม
การครอบฟัน
ในกรณีที่ฟันผุเกิดจากอะไรจนเนื้อฟันเสียหายมาก การครอบฟันจะช่วยเสริมความแข็งแรงและป้องกันการแตกหัก
การรักษารากฟัน
หากฟันผุเกิดจากอะไรที่ลุกลามถึงโพรงประสาท การรักษารากฟันเป็นวิธีที่ช่วยเก็บฟันไว้ไม่ต้องถอน
การถอนฟัน
หากฟันผุเกิดจากอะไรจนรักษาไม่ได้ การถอนฟันเป็นทางเลือกสุดท้าย และควรใส่ฟันปลอมเพื่อคงการใช้งานของฟัน
วิธีป้องกันฟันผุอย่างมีประสิทธิภาพ
การแปรงฟันและใช้ไหมขัดฟันที่ถูกวิธี
ฟันผุเกิดจากอะไรสามารถป้องกันได้ง่ายเพียงแค่แปรงฟันวันละ 2 ครั้ง และใช้ไหมขัดฟันเพื่อกำจัดคราบในซอกฟัน
การเลือกใช้ยาสีฟันและน้ำยาบ้วนปากที่มีฟลูออไรด์
ฟลูออไรด์ช่วยเสริมความแข็งแรงของฟัน ลดความเสี่ยงที่ฟันผุเกิดจากอะไรที่เราเลี่ยงไม่ได้ เช่น คราบอาหารตกค้าง
การตรวจสุขภาพฟันประจำปี
การพบทันตแพทย์ปีละ 1-2 ครั้งจะช่วยตรวจว่าฟันผุเกิดจากอะไรและรักษาได้ทันเวลา
การควบคุมอาหารและลดการบริโภคน้ำตาล
ควรลดเครื่องดื่มหวานและขนมที่ทำให้ฟันผุเกิดจากอะไร พร้อมทั้งเลือกอาหารที่ช่วยเสริมแคลเซียมและฟอสฟอรัส
คำถามที่พบบ่อยเกี่ยวกับฟันผุ
ฟันผุเล็กน้อยหายเองได้ไหม
ฟันผุเกิดจากอะไรที่เป็นเพียงรอยเล็กๆ อาจหยุดยั้งได้ด้วยฟลูออไรด์ แต่ไม่สามารถหายเองได้ ต้องปรึกษาทันตแพทย์
ฟันผุต้องอุดฟันเสมอหรือไม่
หากฟันผุเกิดจากอะไรที่ลุกลาม ควรอุดฟันเพื่อไม่ให้ปัญหาลามไปถึงรากฟัน
ค่าใช้จ่ายในการรักษาฟันผุ
ฟันผุเกิดจากอะไรมีผลต่อค่าใช้จ่าย หากรักษาเร็ว ค่าใช้จ่ายเพียงหลักร้อย แต่ถ้าต้องรักษารากฟันหรือต้องครอบฟันอาจสูงถึงหลักพัน
สรุป ฟันผุเกิดจากอะไร และควรรักษาอย่างไรให้ถูกต้อง
เมื่อเข้าใจแล้วว่าฟันผุเกิดจากอะไรและวิธีรักษาที่ถูกต้อง การดูแลสุขภาพฟันก็ไม่ใช่เรื่องยาก เพียงใส่ใจเรื่องการแปรงฟัน การเลือกอาหาร และตรวจสุขภาพฟันเป็นประจำ ก็ช่วยให้เรามีฟันที่แข็งแรงไปได้อีกนาน
อ่านเพิ่มเติม:





