ฟันกราม คืออะไร ทำไมถึงสำคัญกับการเคี้ยวอาหาร
ฟันกรามคือฟันด้านหลังที่มีหน้ากว้างและร่องบดเคี้ยวลึก ออกแบบมาเพื่อบด บี้ และย่อยอาหารให้เล็กลงก่อนกลืน ต่างจากฟันหน้าและฟันเขี้ยวที่เน้นกัดและตัดอาหาร จำนวนฟันกรามในผู้ใหญ่ปกติจะมีฟันกรามน้อยและฟันกรามใหญ่กระจายทั้งบนล่าง เมื่อรวมฟันคุดที่ขึ้นสุดท้ายก็ยิ่งเพิ่มบทบาทการบดเคี้ยวให้ครบวงจร หากฟันกรามเสียหรือขาดหาย การเคี้ยวจะลำบาก เกิดการใช้ฟันด้านเดียวจนปวดข้อต่อขากรรไกร และอาจทำให้ระบบย่อยอาหารทำงานหนักขึ้นโดยไม่จำเป็น
ฟันกรามมีหน้าที่อะไรในระบบการบดเคี้ยว
หน้าที่หลักของฟันกรามคือรับแรงบดเคี้ยวสูงกว่าฟันซี่อื่น โครงสร้างยอดคราวน์ที่เป็นเนินหลายจุดช่วยกระจายแรงอย่างสมดุล เวลาเราเคี้ยวอาหาร ฟันหน้าเริ่มกัด จากนั้นงานหนักตกที่ฟันกรามซึ่งทำให้ชิ้นอาหารแตกละเอียดขึ้น การทำงานต่อเนื่องแบบนี้ช่วยลดภาระของกระเพาะและลำไส้เพราะอาหารถูกย่อยเชิงกลมาก่อน นอกจากนี้ฟันกรามยังช่วยค้ำยันระดับใบหน้าและริมฝีปากส่วนหลังให้ได้รูป เมื่อสูญเสียฟันกรามนานๆ โครงหน้าอาจยุบเล็กลงและการออกเสียงบางคำอาจเปลี่ยนไปโดยไม่รู้ตัว
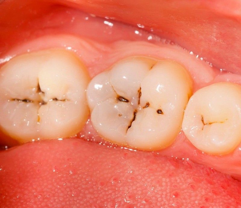
ฟันกรามผุ เกิดจากอะไร และสังเกตอาการยังไง
สาเหตุยอดฮิตของฟันกรามผุเกิดจากคราบจุลินทรีย์สะสมในร่องบดเคี้ยวที่ลึก ทำความสะอาดยาก ยิ่งถ้าเราชอบของหวาน น้ำอัดลม หรือจิบเครื่องดื่มรสหวานทั้งวัน สภาพเป็นกรดในปากจะยาวนานจนเคลือบฟันอ่อนตัวเร็ว อาการเริ่มแรกมักยังไม่ปวด อาจเห็นจุดสีคล้ำหรือเสียววูบเมื่อโดนหวานเย็น หากปล่อยไว้นานเชื้อโรคจะลุกลามสู่ชั้นเนื้อฟันและโพรงประสาท เกิดอาการปวดตุบ เคี้ยวไม่ได้และอาจบวมเหงือก สุดท้ายเสี่ยงต้องรักษารากหรือถอนฟัน ทางที่ดีที่สุดคือพบหมอฟันทันทีที่เริ่มเอะใจเพราะการอุดเล็กๆ ประหยัดทั้งเนื้อฟันและค่าใช้จ่ายกว่าเสมอ

ปวดฟันกราม เกิดจากสาเหตุไหนบ้าง
อาการปวดฟันกรามพบได้ทั้งจากฟันผุลึก เหงือกอักเสบ ฟันคุดดัน หรือการกัดฟันตอนนอนที่ทำให้ฟันร้าวโดยไม่รู้ตัว ถ้าปวดเวลาบดอาหารร้อนเย็นและปวดค้างนานหลังสิ่งกระตุ้นหายไปมักเกี่ยวกับโพรงประสาท ถ้าปวดกดเจ็บเฉพาะจุดร่วมกับเหงือกบวมเลือดออกง่าย อาจเป็นโรคเหงือก ส่วนปวดร้าวไปหูหรือขมับเวลาอ้าปากมักเจอฟันคุดอักเสบ แนวทางเบื้องต้นคือหลีกเลี่ยงเคี้ยวของแข็งฝั่งที่เจ็บ ประคบอุ่นบางช่วง และพบทันตแพทย์เพื่อเอกซเรย์หาสาเหตุจริง ไม่ควรกินยาปฏิชีวนะเองโดยไม่มีคำแนะนำเฉพาะเคส
ฟันผุ ลึกถึงโพรงประสาท
เมื่อฟันผุลึกถึงโพรงประสาท เชื้อโรคทำให้เนื้อเยื่ออักเสบจนปวดตุบตลอดเวลา ยิ่งนอนราบยิ่งปวดเพราะเลือดคั่ง วิธีรักษาที่ตรงจุดคือรักษารากเพื่อลดการอักเสบ จากนั้นจึงครอบฟันกรามเพื่อคืนความแข็งแรงและป้องกันร้าวซ้ำในอนาคต ยาแก้ปวดช่วยได้ชั่วคราวแต่ไม่แก้ต้นเหตุ
เหงือกอักเสบรอบฟันกราม
คราบหินปูนที่ขอบเหงือกทำให้เหงือกบวมแดงและกดเจ็บ เวลาแปรงหรือใช้ไหมขัดฟันจะมีเลือดออกง่าย การขูดหินปูนและปรับพฤติกรรมดูแลช่องปากช่วยให้อาการดีขึ้นเร็ว ถ้าทิ้งไว้นานโรคอาจลามไปกระดูกทำให้ฟันโยกและปวดเคี้ยวเรื้อรัง
ฟันคุดดันฟันกรามข้างเคียง
ฟันคุดมักฝังเอียงและดันซี่หน้า เกิดการอักเสบของเหงือกครอบและปวดร้าวเป็นพักๆ การผ่าฟันคุดช่วยจบปัญหาและป้องกันฟันกรามซี่ถัดไปผุด้านชิดซึ่งมักแปรงไม่ถึง หมอจะประเมินความยากจากฟิล์มเอกซเรย์และให้แผนดูแลหลังผ่าที่เหมาะกับคุณ
ฟันกรามขึ้นช้า โดยเฉพาะในเด็ก ควรทำอย่างไร
ช่วงเวลาฟันกรามน้ำนมและฟันกรามแท้ขึ้นมีกรอบเวลาโดยประมาณ แต่ความต่างรายบุคคลพบได้ตามพันธุกรรมและโภชนาการ หากฟันกรามขึ้นช้ากว่ามาตรฐานมากควรพาเด็กตรวจเพื่อดูว่ามีฟันคุดหรือฟันเกินกีดขวางหรือไม่ ระหว่างรอควรดูแลเหงือกให้สะอาด นวดเบาๆ หลังแปรงฟัน และเน้นอาหารเนื้อนุ่มแบ่งคำพอดี การติดตามทุกหกเดือนช่วยให้หมอฟันเด็กประเมินแนวขึ้นและให้คำแนะนำด้านฟลูออไรด์หรือเคลือบหลุมร่องฟันเพื่อกันผุตั้งแต่ต้น
การดูแลฟันกรามให้แข็งแรงและไม่ผุง่าย
การดูแลฟันกรามต้องเน้นพื้นที่ร่องบดเคี้ยวและด้านชิดซี่ข้างที่คราบติดง่าย เทคนิคแปรงคือวางขนแปรงเอียงเข้าขอบเหงือกเล็กน้อย กวาดสั้นๆ รอบซี่ แล้วปัดผ่านร่องด้านบนให้ทั่ว อย่าลืมไหมขัดฟันเพื่อเก็บคราบในซอกที่แปรงเข้าไม่ถึง และใช้แปรงซอกฟันในคนที่มีช่องว่างกว้างขึ้น นอกจากนี้การเคลือบหลุมร่องฟันสำหรับเด็กและวัยรุ่นจะปิดร่องลึกให้ทำความสะอาดง่าย ลดโอกาสผุในช่วงเสี่ยงสูงอย่างชัดเจน
ฟันกรามคุด คืออะไร ทำไมถึงต้องระวัง
ฟันกรามคุดคือฟันกรามใหญ่ซี่สุดท้ายที่ขึ้นท้ายสุด บ่อยครั้งไม่มีพื้นที่พอจึงเอียงหรือฝังส่วนหนึ่งใต้เหงือก ทำให้ทำความสะอาดยากและอักเสบเป็นๆ หายๆ อาการที่พบบ่อยคือปวด บวม อ้าปากลำบาก และกลิ่นปาก การรักษาโดยผ่าถอนช่วยลดการติดเชื้อซ้ำและปกป้องฟันกรามข้างเคียงจากการผุด้านติดกัน หลังผ่าควรประคบเย็น 24 ชั่วโมงแรก งดดูดหลอด ไม่บ้วนน้ำแรง และทานอาหารนุ่มเย็นจนแผลเริ่มปิดเพื่อลดโอกาสเลือดออกและเจ็บแผล

การรักษาเมื่อฟันกรามเสียหรือผุรุนแรง
แนวทางรักษาเริ่มจากง่ายไปยากตามระดับความเสียหาย หากผุเล็กอุดฟันด้วยวัสดุเรซินสีเหมือนฟันก็พอ เมื่อผุกว้างหรือผ่านการรักษารากแล้ว แรงเคี้ยวสูงของฟันกรามทำให้เสี่ยงแตกต่อ จึงมักแนะนำครอบฟันเพื่อกระจายแรงและยืดอายุใช้งาน หากต้องถอนเพราะแตกถึงรากหรือแตกยาวตามแนวตั้ง ตัวเลือกทดแทนคือรากเทียมหรือสะพานฟัน เพื่อลดการล้มเอียงของซี่ข้างและปัญหาการสบฟันในระยะยาว
การอุดฟัน ครอบฟัน หรือรักษาราก เลือกอย่างไร
-
อุดฟัน เหมาะกับรอยผุไม่ใหญ่มาก โครงสร้างฟันเดิมยังแข็งแรง
-
รักษาราก ใช้เมื่อเชื้อเข้าถึงโพรงประสาท ปวดมากหรือกดเจ็บค้าง จากนั้นครอบเพื่อเสริมความแข็งแรง
-
ครอบฟัน เหมาะกับฟันกรามที่สูญเสียเนื้อฟันมากหรือแตกง่าย ต้องการกระจายแรงให้ปลอดภัยขึ้น
สิ่งที่ควรทำทันทีเมื่อปวดฟันกราม
ถ้าปวดเฉียบพลันควรบันทึกว่าปวดตอนไหน กระตุ้นด้วยร้อนเย็นหรือกัด แล้วรีบจองคิวตรวจ ระหว่างรอควรกินอาหารนุ่มอุณหภูมิห้อง หลีกเลี่ยงฝั่งที่ปวด และบ้วนปากด้วยน้ำเกลืออุ่นเพื่อลดอักเสบ ยาแก้ปวดกลุ่มทั่วไปช่วยบรรเทาชั่วคราวได้ในคนที่ไม่มีข้อห้าม แต่ควรหลีกเลี่ยงการประคบร้อนระยะที่สงสัยติดเชื้อเพราะอาจทำให้บวมเพิ่ม หากมีอาการบวมมาก กลืนลำบาก ไข้ หรือปวดร้าวทั้งกรามควรพบแพทย์ทันที
ฟันกรามแบบไหนควรถอน และแบบไหนยังรักษาได้
การตัดสินใจถอนดูจากรอยแตกยาวลงราก ความสูงของเหงือกเทียบขอบฟัน ความสามารถในการยึดงานซ่อม และการติดเชื้อซ้ำ การถอนช่วยหยุดอักเสบเร็วในเคสที่รักษาไม่คุ้ม แต่หากยังรักษาได้ หมอจะเสนอทางเลือกตั้งแต่อุด ครอบ ไปจนถึงรักษารากโดยดูภาพเอกซเรย์ร่วมด้วย เป้าหมายคือเก็บฟันธรรมชาติให้นานที่สุดเพราะช่วยรักษาการสบฟันและการเคี้ยวโดยรวม
การเลือกทางทดแทนหลังถอนเพื่อคืนการเคี้ยว
หลังถอนฟันกราม การปล่อยช่องว่างไว้นานทำให้ฟันข้างเคียงล้มและฟันคู่สบยื่นลงมา ส่งผลต่อการเคี้ยวและการทำความสะอาด ทางเลือกหลักมีรากเทียม สะพานฟัน และฟันปลอมถอดได้ รากเทียมให้ความรู้สึกใกล้ฟันจริง ดูแลง่าย แต่ต้องมีคุณภาพกระดูกพอและใช้เวลารวมหลายเดือน สะพานฟันทำได้เร็วกว่าแต่ต้องกรอฟันข้าง ส่วนฟันปลอมถอดได้เหมาะเป็นทางชั่วคราวหรือในกรณีหลายซี่ เลือกอย่างไรควรคุยร่วมกับหมอตามงบ เวลาที่มี และสุขภาพช่องปาก
เคล็ดลับป้องกันฟันกรามผุในชีวิตประจำวัน
การป้องกันเริ่มจากนิสัยง่ายๆ ที่ทำได้ทุกวัน เลือกแปรงขนนุ่มหัวไม่ใหญ่เกินไปเพื่อเข้าถึงซอกด้านหลัง ใช้ไหมขัดฟันก่อนแปรงจะช่วยให้ฟลูออไรด์สัมผัสผิวฟันได้ทั่ว ลดของหวานเหนียวและเครื่องดื่มหวาน โดยเฉพาะการจิบยาวๆ ทั้งวันซึ่งทำให้กรดค้างนาน หลังมื้อว่างให้ดื่มน้ำเปล่าล้างคราบ และอย่าลืมพบทันตแพทย์ทุกหกเดือนเพื่อขูดหินปูนและตรวจรอยผุเล็กๆ ก่อนลุกลาม การเคลือบหลุมร่องฟันในวัยเรียนช่วยลดโอกาสผุที่ด้านบดเคี้ยวได้มาก
อุปกรณ์เสริมที่ช่วยถนอมฟันกราม
คนที่มีนิสัยกัดฟันหรือนอนกัดฟันควรปรึกษาเรื่องเฝือกสบเพื่อกระจายแรงและลดรอยร้าวเล็กๆ ที่ตามไม่ทัน นักกีฬาที่มีโอกาสกระแทกควรใช้การ์ดกันกระแทกพอดีปากเพื่อป้องกันฟันกรามบิ่นแตก แปรงซอกฟันและน้ำยาบ้วนปากฟลูออไรด์อ่อนๆ ช่วยเสริมการทำความสะอาดในจุดเข้าถึงยาก แต่ไม่ควรใช้แทนไหมขัดฟัน
โภชนาการที่เป็นมิตรกับฟันกราม
เคลือบฟันต้องการแร่ธาตุฟื้นตัวจากน้ำลายและฟลูออไรด์ เลือกอาหารที่ช่วยเพิ่มแคลเซียมและฟอสเฟต เช่น นม โยเกิร์ต ชีส รวมถึงผักใบเขียว ดื่มน้ำเปล่าบ่อยๆ เพื่อกระตุ้นน้ำลายและล้างกรด ถ้าชอบเครื่องดื่มหวานให้จำกัดเวลาและปริมาณ ดื่มให้จบในครั้งเดียวดีกว่าจิบทั้งวัน จากนั้นรอน้อยที่สุดสามสิบนาทีก่อนแปรงเพราะเคลือบฟันจะอ่อนไหวช่วงกรดเพิ่งลดลง
ตรวจเช็กฟันกรามสม่ำเสมอ ช่วยประหยัดทั้งเวลาและค่าใช้จ่าย
การตรวจทุกหกเดือนช่วยให้พบสัญญาณเล็กๆ เช่น รอยผุเริ่มต้น รอยแตกร้าวขนาดจิ๋ว หรือจุดอักเสบที่ยังไม่เจ็บ การแก้ปัญหาระดับนี้ทำได้เร็ว เจ็บน้อย และถูกกว่าเมื่อเทียบกับการปล่อยจนต้องรักษารากหรือครอบฟัน นอกจากนี้การปรับการสบเล็กๆ หลังงานอุดหรือครอบใหม่ยังลดโอกาสปวดเคี้ยวเรื้อรังและยืดอายุงานซ่อมได้มาก
สรุป ฟันกรามคือรากฐานของการกินที่ดีและรอยยิ้มที่มั่นใจ
ฟันกรามทำให้การเคี้ยวมีประสิทธิภาพ ช่วยย่อยอาหารตั้งแต่คำแรกและค้ำโครงสร้างใบหน้า การดูแลง่ายๆ อย่างแปรงให้ทั่ว ใช้ไหมสม่ำเสมอ เลือกอาหารฉลาด และตรวจเช็กตามนัดทำให้ฟันกรามอยู่กับเราได้ยาวนาน หากปวดหรือสงสัยผุอย่ารอจนลุกลาม เพราะการรักษาเร็วประหยัดเนื้อฟันและค่าใช้จ่ายกว่าเสมอ และถ้าต้องทดแทนก็ยังมีตัวเลือกทันสมัยที่คืนการเคี้ยวและความมั่นใจได้ดี
คำถามที่พบบ่อย
ปวดฟันกรามบ่อยๆ ต้องรักษาแบบไหนถึงจะหาย?
เริ่มจากวินิจฉัยสาเหตุด้วยการตรวจและเอกซเรย์ก่อน หากเป็นฟันผุลึกจะรักษารากและครอบฟัน ถ้าเป็นเหงือกอักเสบต้องขูดหินปูนและปรับการทำความสะอาด ส่วนฟันคุดควรพิจารณาผ่าถอน การแก้ตรงเหตุช่วยให้ปวดหายยั่งยืนกว่าแค่กินยาแก้ปวด
ฟันกรามผุเล็กน้อยควรอุดเลยหรือเฝ้าดูก่อนได้?
ถ้าเป็นผุเริ่มต้นเฉพาะเคลือบฟันและควบคุมปัจจัยเสี่ยงได้ดี หมออาจแนะนำฟลูออไรด์และติดตาม แต่ถ้ารอยผุทะลุชั้นเนื้อฟันแล้วควรอุดทันทีเพราะการผุจะลามเร็วและเสี่ยงถึงโพรงประสาท การอุดตั้งแต่เล็กช่วยประหยัดทั้งเนื้อฟันและงบประมาณ
ฟันกรามขึ้นช้าในเด็กเป็นเรื่องน่าห่วงไหม?
ต่างรายบุคคลพบได้ แต่หากช้ากว่ามาตรฐานมากหรือมีฟันซ้อนเกเพิ่มความยากในการทำความสะอาด ควรพาไปตรวจ หมอฟันเด็กจะประเมินแนวขึ้นและแนะนำการดูแล เช่น ฟลูออไรด์วาร์นิชหรือเคลือบหลุมร่องฟันเพื่อกันผุช่วงเสี่ยง
หลังรักษารากฟันกรามจำเป็นต้องครอบฟันทุกเคสหรือไม่?
ส่วนใหญ่แนะนำให้ครอบ เพราะฟันกรามที่รักษารากสูญเสียความชื้นและความยืดหยุ่น ทำให้แตกง่ายภายใต้แรงเคี้ยวสูง ครอบฟันช่วยกระจายแรงและยืดอายุการใช้งาน ลดโอกาสซ่อมซ้ำในอนาคต
ต่างกันอย่างไรระหว่างรากเทียมกับสะพานฟันถ้าถอนฟันกรามไปแล้ว?
รากเทียมทดแทนทั้งรากและมงกุฎ ไม่ต้องกรอฟันข้างและให้ความรู้สึกเหมือนฟันจริงมากกว่า แต่ต้องใช้เวลาและสภาพกระดูกพร้อม สะพานฟันทำได้เร็วกว่า ค่าเริ่มต้นต่ำกว่า แต่พึ่งพาฟันข้างและต้องดูแลซอกใต้สะพานสม่ำเสมอ
จะลดโอกาสฟันกรามผุซ้ำได้ยังไงในชีวิตประจำวัน?
ใช้ไหมขัดฟันทุกวัน แปรงด้านบดเคี้ยวให้ทั่ว จำกัดของหวานและเครื่องดื่มน้ำตาล ดื่มน้ำเปล่าหลังมื้อ และตรวจฟันทุกหกเดือน ในเด็กวัยเรียนพิจารณาเคลือบหลุมร่องฟันเพื่อลดความเสี่ยงผุที่ร่องลึกด้านบนของฟันกราม
อ่านเพิ่มเติม:





