รอยยิ้มคือประตูบานแรกที่สร้างความประทับใจให้แก่ผู้พบเห็น แต่สำหรับบางคนความมั่นใจนั้นอาจหายไปเมื่อต้องเผชิญกับปัญหาที่เรียกว่า ยิ้มเห็นเหงือกเยอะ หรือ Gummy Smile ซึ่งเป็นลักษณะที่มีเนื้อเหงือกครอบคลุมตัวฟันมากเกินไปจนทำให้ฟันดูสั้นหรือไม่สมส่วนกับใบหน้า ปัญหาเหล่านี้ไม่ได้ส่งผลกระทบต่อสุขภาพช่องปากโดยตรง แต่อาจทำให้เจ้าของรอยยิ้มรู้สึกไม่มั่นใจจนไม่กล้ายิ้มกว้างในที่สาธารณะ ปัจจุบันเทคโนโลยีทางการแพทย์ก้าวหน้าไปมากจนสามารถแก้ไขปัญหานี้ได้ด้วยวิธีการ ตัดเหงือกปรับรูปหน้า เปลี่ยนรอยยิ้ม ซึ่งเป็นการทำศัลยกรรมขนาดเล็กที่เห็นผลลัพธ์การเปลี่ยนแปลงได้ทันทีหลังทำ
การตัดแต่งเหงือกไม่ได้มีจุดประสงค์เพียงแค่การนำเหงือกส่วนเกินออกเท่านั้น แต่ยังเป็นการออกแบบสัดส่วนของรอยยิ้มใหม่ให้เข้ากับรูปหน้าและริมฝีปากของแต่ละบุคคล ทันตแพทย์จะใช้ความชำนาญในการวิเคราะห์ว่าความสูงของเหงือกควรอยู่ที่ระดับใดจึงจะทำให้ฟันดูเรียวสวยและมีสัดส่วนที่พอดี การเปลี่ยนแปลงเพียงเล็กน้อยในจุดนี้สามารถส่งผลให้ใบหน้าโดยรวมดูสว่างและดูมีบุคลิกภาพที่โดดเด่นขึ้นอย่างไม่น่าเชื่อ บทความนี้จะพาทุกคนไปทำความรู้จักกับกระบวนการตัดแต่งเหงือกในเชิงลึก ตั้งแต่สาเหตุของปัญหา เทคนิคการรักษาที่ทันสมัย ไปจนถึงการเตรียมตัวเพื่อให้คุณมีรอยยิ้มที่สวยสมบูรณ์แบบที่สุด
ทำความรู้จักการตัดเหงือกเพื่อความงามและการปรับสมดุลใบหน้า
การตัดเหงือกหรือการทำศัลยกรรมตกแต่งเหงือกเป็นขั้นตอนที่ทันตแพทย์จะทำการตัดเนื้อเยื่อเหงือกส่วนเกินที่คลุมอยู่บนฟันออก เพื่อเผยให้เห็นตัวฟันที่ยาวขึ้นและมีรูปทรงที่สวยงามตามธรรมชาติ การทำหัตถการนี้มักทำร่วมกับการปรับแนวขอบเหงือกให้มีความสมมาตรกันทั้งซ้ายและขวา เพื่อสร้างความสมดุลให้กับรอยยิ้ม ในอดีตการตัดเหงือกอาจฟังดูน่ากลัวและต้องใช้เวลาพักฟื้นนาน แต่ในยุคปัจจุบันการใช้เทคโนโลยีเลเซอร์เข้ามาช่วยทำให้กระบวนการนี้กลายเป็นเรื่องง่ายและมีความแม่นยำสูงมาก
เหตุผลหลักที่คนตัดสินใจทำหัตถการนี้คือความต้องการปรับรูปหน้าในภาพรวม เพราะรอยยิ้มที่เห็นเหงือกมากเกินไปมักจะดึงความสนใจไปจากจุดอื่นของใบหน้า การปรับให้เหงือกอยู่ในระดับที่พอดีจะช่วยให้องค์ประกอบของใบหน้าส่วนล่างดูยาวขึ้นและดูละมุนขึ้น นอกจากนี้ยังช่วยให้การทำหัตถการอื่นๆ เช่น การทำวีเนียร์หรือการครอบฟันออกมาดูสวยงามและแนบสนิทไปกับขอบเหงือกได้อย่างไร้ที่ติ การตัดเหงือกจึงถือเป็นส่วนสำคัญของการทำ Smile Makeover ที่ได้รับความนิยมอย่างมากในปัจจุบัน

สาเหตุของอาการยิ้มเห็นเหงือกเยอะที่ทำให้หลายคนเสียความมั่นใจ
ก่อนที่จะไปถึงขั้นตอนการรักษา การเข้าใจต้นตอของปัญหาเป็นสิ่งสำคัญ เพราะ ยิ้มเห็นเหงือกเยอะ อาจเกิดได้จากหลายปัจจัยที่แตกต่างกันไปในแต่ละคน
-
พันธุกรรม: บางคนเกิดมาพร้อมกับลักษณะของเหงือกที่หนาหรือยาวครอบคลุมตัวฟันมากกว่าปกติมาตั้งแต่ต้น
-
พัฒนาการของฟัน: ฟันบางซี่อาจจะขึ้นมาในตำแหน่งที่ไม่สมบูรณ์ หรือมีเนื้อเยื่อเหงือกยังคงคลุมอยู่มากแม้ฟันจะขึ้นมาเต็มซี่แล้ว
-
ลักษณะของริมฝีปาก: ผู้ที่มีริมฝีปากบนสั้นหรือริมฝีปากมีการขยับตัวขึ้นไปสูงมากเวลาหัวเราะ (Hyperactive Lip) จะทำให้เห็นเหงือกมากกว่าคนทั่วไป
-
การเจริญเติบโตของขากรรไกร: หากขากรรไกรบนยื่นออกมาข้างหน้าหรือยาวผิดปกติ จะส่งผลให้เนื้อเหงือกดูเด่นชัดขึ้นเวลาขยับปาก
-
การใช้ยาบางชนิด: ยาบางประเภทอาจส่งผลข้างเคียงทำให้เนื้อเยื่อเหงือกหนาตัวขึ้นจนผิดปกติ
การที่ทันตแพทย์วิเคราะห์สาเหตุได้ถูกต้องจะช่วยให้เลือกวิธีการรักษาได้ตรงจุด หากปัญหาเกิดจากเนื้อเหงือกส่วนเกินเพียงอย่างเดียว การตัดแต่งเหงือกก็ถือเป็นวิธีที่ได้ผลลัพธ์ดีที่สุดและเจ็บตัวน้อยที่สุดเมื่อเทียบกับการผ่าตัดขากรรไกร
ตัดเหงือกด้วยเลเซอร์ vs การผ่าตัดแบบดั้งเดิม แตกต่างกันอย่างไร
เมื่อต้องตัดสินใจรับบริการ หลายคนมักจะเปรียบเทียบระหว่างวิธีดั้งเดิมกับการใช้เทคโนโลยีใหม่ การเลือกวิธีที่เหมาะสมจะขึ้นอยู่กับดุลยพินิจของแพทย์และงบประมาณของคนไข้
การผ่าตัดแบบดั้งเดิม ทันตแพทย์จะใช้ใบมีดผ่าตัดขนาดเล็กในการตัดแต่งเหงือก วิธีนี้อาจจะทำให้มีการเสียเลือดในขณะทำบ้างและอาจต้องมีการเย็บแผลในบางกรณี ซึ่งต้องใช้เวลาพักฟื้นประมาณ 1 ถึง 2 สัปดาห์เพื่อให้แผลหายสนิท ในขณะที่การใช้เลเซอร์ หรือตัดเหงือกด้วยเลเซอร์ เป็นนวัตกรรมที่เข้ามาเปลี่ยนวงการทันตกรรมเพื่อความงามอย่างมาก เพราะเลเซอร์จะทำหน้าที่ตัดและเชื่อมปิดหลอดเลือดไปในตัว ทำให้เสียเลือดน้อยมากหรือไม่เสียเลือดเลย แผลที่ได้จะเรียบเนียนและมักจะไม่ต้องเย็บแผล ช่วยลดอาการบวมและลดความเสี่ยงในการติดเชื้อหลังการรักษาได้ดีเยี่ยม
ข้อดีที่ชัดเจนของการใช้เลเซอร์คือคนไข้สามารถใช้ชีวิตตามปกติได้ทันทีหลังทำ และมักจะไม่มีอาการปวดรุนแรงเหมือนการผ่าตัดด้วยใบมีด ความแม่นยำของลำแสงเลเซอร์ยังช่วยให้ทันตแพทย์สามารถออกแบบขอบเหงือกให้เป็นเส้นโค้งที่สวยงามได้ตามใจต้องการ ซึ่งการใช้ใบมีดอาจทำได้ยากกว่าในจุดที่มีรายละเอียดสูง
ขั้นตอนการเตรียมตัวและการรับบริการศัลยกรรมเหงือกเปลี่ยนรอยยิ้ม
การเตรียมตัวที่ดีจะช่วยให้ผลการรักษออกมาสมบูรณ์แบบที่สุด ขั้นตอนเริ่มต้นจากการปรึกษาทันตแพทย์เพื่อตรวจสภาพช่องปากและฟันอย่างละเอียด หมอจะทำการวัดระดับเหงือกและฟัน รวมถึงพูดคุยเรื่องความต้องการของคนไข้ว่าอยากให้รอยยิ้มออกมาในรูปแบบใด ในบางเคสอาจมีการเอกซเรย์เพื่อดูระดับกระดูกรองรับรากฟันประกอบด้วย หากพบว่าฟันมีคราบหินปูนมากหรือเหงือกอักเสบ ทันตแพทย์จะแนะนำให้ขูดหินปูนและรักษาสุขภาพเหงือกให้แข็งแรงก่อนเริ่มทำศัลยกรรม
ในวันนัดทำหัตถการ ขั้นตอนจะเริ่มจากการใช้ยาชาชนิดเจลแปะที่เหงือกตามด้วยการฉีดยาชาเพื่อระงับความรู้สึก จากนั้นทันตแพทย์จะเริ่มใช้เครื่องมือเลเซอร์หรือใบมีดตามที่ได้ตกลงกันไว้ในการตัดแต่งเหงือกตามรอยที่ออกแบบไว้ กระบวนการทั้งหมดมักจะใช้เวลาเพียง 30 ถึง 60 นาทีเท่านั้น หลังจากทำเสร็จแล้ว ทันตแพทย์จะให้คำแนะนำในการดูแลแผลและนัดตรวจติดตามผลในระยะเวลา 1 สัปดาห์เพื่อให้มั่นใจว่าเหงือกสมานตัวได้ดีและรอยยิ้มใหม่มีความสมมาตรตามที่วางแผนไว้
ศัลยกรรมเหงือก เจ็บไหม และการดูแลตัวเองหลังการรักษา
คำถามยอดฮิตที่ทำให้หลายคนลังเลคือ ศัลยกรรมเหงือก เจ็บไหม ความจริงคือในระหว่างกระบวนการทำ คนไข้จะไม่รู้สึกเจ็บเลยเนื่องจากฤทธิ์ของยาชาที่แม่นยำ หลังจากการรักษาเสร็จสิ้นและยาชาหมดฤทธิ์ อาจมีความรู้สึกตึงๆ หรือเสียวที่บริเวณขอบเหงือกเพียงเล็กน้อย ซึ่งสามารถบรรเทาได้ด้วยยาแก้ปวดทั่วไป โดยเฉพาะหากใช้วิธีเลเซอร์ อาการระบมจะน้อยมากจนแทบไม่ส่งผลต่อการใช้ชีวิตประจำวัน
สำหรับการดูแลตัวเองหลังทำหัตถการ มีข้อควรปฏิบัติที่ง่ายแต่สำคัญมาก
-
หลีกเลี่ยงอาหารที่มีรสจัด เผ็ด ร้อน หรือเปรี้ยวจัดในช่วง 3 ถึง 5 วันแรก เพื่อป้องกันการระคายเคืองแผล
-
แปรงฟันเบาๆ โดยใช้แปรงขนอ่อนนุ่มและหลีกเลี่ยงการโดนบริเวณแผลโดยตรงในช่วงแรก
-
บ้วนปากด้วยน้ำเกลืออ่อนๆ หรือน้ำยาบ้วนปากตามที่แพทย์สั่งเพื่อรักษาความสะอาด
-
งดการสูบบุหรี่และการดื่มเครื่องดื่มแอลกอฮอล์เพราะจะทำให้แผลหายช้าลง
-
พยายามไม่ใช้ลิ้นหรือนิ้วมือไปสัมผัสหรือดึงบริเวณเหงือกที่ทำมา
หากปฏิบัติตามคำแนะนำอย่างเคร่งครัด เหงือกจะเริ่มสมานตัวเป็นปกติภายในไม่กี่วัน และรอยยิ้มใหม่ที่สวยงามจะคงอยู่กับคุณไปตลอดกาลโดยไม่มีการกลับมายาวเหมือนเดิมหากไม่มีปัจจัยอื่นมาแทรกแซง
ตัดเหงือกด้วยเลเซอร์ ราคา และความคุ้มค่าของการลงทุนเพื่อบุคลิกภาพ
เมื่อพิจารณาเรื่องงบประมาณ ตัดเหงือกด้วยเลเซอร์ ราคา จะขึ้นอยู่กับจำนวนซี่ฟันที่ต้องการตัดแต่งและความซับซ้อนของเคส โดยปกติแล้วราคาเริ่มต้นจะอยู่ที่ประมาณ 1,500 ถึง 3,000 บาทต่อซี่ หรืออาจจะเป็นแพ็กเกจเหมาสำหรับฟันหน้า 6 ถึง 10 ซี่ ซึ่งมักจะคุ้มค่ากว่าหากต้องการปรับรอยยิ้มทั้งแนวกว้าง แม้ราคาอาจจะดูเหมือนเป็นการจ่ายเพื่อความงาม แต่หากมองในมุมของความมั่นใจและโอกาสในการทำงานหรือการเข้าสังคม การลงทุนนี้ถือว่ามีความคุ้มค่าสูงมาก
สิ่งที่ทำให้ราคาแต่ละคลินิกแตกต่างกันมักจะอยู่ที่ความเชี่ยวชาญของทันตแพทย์ เทคโนโลยีเครื่องเลเซอร์ที่ใช้ และการบริการหลังการขาย การเลือกคลินิกที่ไม่ควรเน้นเพียงแค่ราคาถูกที่สุด แต่ควรเน้นที่มาตรฐานความสะอาดและรีวิวที่เชื่อถือได้ เพื่อป้องกันภาวะแทรกซ้อนที่อาจเกิดขึ้น เช่น ขอบเหงือกไม่เท่ากันหรือแผลอักเสบติดเชื้อ ซึ่งการเลือกคลินิกคุณภาพจะช่วยให้คุณจ่ายเงินครั้งเดียวแล้วได้รอยยิ้มที่สวยงามถาวร
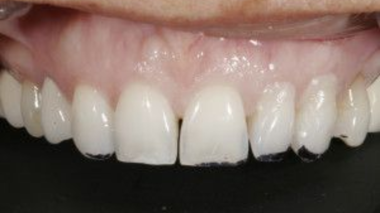
รีวิวตัดเหงือก เปลี่ยนรอยยิ้ม ผลลัพธ์ที่ช่วยให้ใบหน้าดูเปลี่ยนไปในทางที่ดีขึ้น
หากลองหาข้อมูล รีวิวตัดเหงือก เปลี่ยนรอยยิ้ม จะพบว่าคนไข้ส่วนใหญ่รู้สึกพึงพอใจมากกับการเปลี่ยนแปลงที่ได้รับ ผลลัพธ์หลังทำทันทีคือตัวฟันจะดูยาวขึ้นในระดับที่เหมาะสม รอยยิ้มที่เคยดูหนาหนักด้วยเนื้อเหงือกจะกลายเป็นรอยยิ้มที่ดูสดใสและเป็นมิตรมากขึ้น หลายคนให้ข้อมูลว่าใบหน้าดูเรียวขึ้นและดูมีความสมดุลมากกว่าเดิมโดยไม่ต้องทำศัลยกรรมใหญ่
นอกจากความสวยงามแล้ว รีวิวส่วนใหญ่ยังเน้นย้ำถึงความรวดเร็วในการหายของแผล โดยเฉพาะผู้ที่รับบริการด้วยระบบเลเซอร์ที่บอกเป็นเสียงเดียวกันว่าแทบไม่มีความเจ็บปวดและสามารถกลับไปทำงานได้ในวันรุ่งขึ้น ความพึงพอใจนี้เองที่ทำให้การตัดแต่งเหงือกกลายเป็นหัตถการอันดับต้นๆ ที่คนเลือกทำเพื่อเตรียมตัวสำหรับงานสำคัญ เช่น งานแต่งงาน การรับปริญญา หรือการสมัครงานใหม่ที่ต้องใช้ความมั่นใจในรอยยิ้มสูง
Beyond Smile Dental Clinic ผู้เชี่ยวชาญด้านการออกแบบรอยยิ้มและการตัดแต่งเหงือก
หากคุณกำลังมองหาสถานที่ที่จะช่วยเปลี่ยนรอยยิ้มของคุณให้สวยสมบูรณ์แบบ Beyond Smile Dental Clinic พร้อมให้บริการคุณด้วยทีมทันตแพทย์เฉพาะทางด้านความงามที่มีความเชี่ยวชาญในการตัดเหงือกปรับรูปหน้า เราเข้าใจดีว่าแต่ละคนมีโครงสร้างใบหน้าและลักษณะเหงือกที่แตกต่างกัน เราจึงให้ความสำคัญกับการออกแบบรอยยิ้มแบบเฉพาะบุคคล (Personalized Smile Design) เพื่อให้มั่นใจว่าผลลัพธ์ที่ได้จะออกมาดูเป็นธรรมชาติและเข้ากับบุคลิกของคุณที่สุด
ที่ Beyond Smile เราใช้เทคโนโลยีการตัดเหงือกด้วยเลเซอร์ที่ทันสมัยที่สุด เพื่อมอบประสบการณ์การรักษาที่เจ็บน้อย เสียเลือดน้อย และแผลหายไวให้กับคนไข้ทุกคน ห้องปฏิบัติการของเราสะอาดและได้รับมาตรฐานระดับสากล พร้อมด้วยทีมงานที่พร้อมดูแลและให้คำปรึกษาอย่างใกล้ชิดในทุกขั้นตอน ไม่ว่าคุณจะมีปัญหายิ้มเห็นเหงือกเยอะหรือขอบเหงือกไม่เท่ากัน ให้เราเป็นผู้ช่วยดูแลและเปลี่ยนรอยยิ้มของคุณให้เป็นอาวุธลับแห่งความสำเร็จตั้งแต่วันนี้
บทสรุปของการปรับรอยยิ้มเพื่อความมั่นใจที่ยั่งยืน
การตัดเหงือกปรับรูปหน้า เปลี่ยนรอยยิ้ม คือกุญแจสำคัญที่จะช่วยปลดล็อกความกังวลและคืนความมั่นใจให้กับคุณ ปัญหายิ้มเห็นเหงือกเยอะจะไม่ใช่เรื่องกวนใจอีกต่อไปเมื่อได้รับการแก้ไขโดยผู้เชี่ยวชาญที่ Beyond Smile Dental Clinic การเลือกใช้นวัตกรรมเลเซอร์ที่เจ็บน้อยและเห็นผลไวคือทางเลือกที่ตอบโจทย์ไลฟ์สไตล์ของคนรุ่นใหม่ได้อย่างยอดเยี่ยม รอยยิ้มที่สวยงามสมส่วนไม่เพียงแต่ทำให้คุณดูดีขึ้นภายนอกเท่านั้น แต่ยังสร้างพลังบวกจากภายในให้คุณกล้าเป็นตัวเองในทุกสถานการณ์ ลงทุนกับรอยยิ้มของคุณในวันนี้ เพื่อผลลัพธ์ที่จะอยู่กับคุณไปตลอดกาล
คำถามที่พบบ่อย
1. ตัดเหงือกไปแล้วเนื้อเหงือกจะกลับมางอกใหม่เหมือนเดิมไหม? หากทันตแพทย์ทำการตัดแต่งเหงือกในระดับที่ถูกต้องและไม่มีปัจจัยอื่นมาแทรกแซง เช่น การกินยาบางชนิดหรือการมีภาวะเหงือกอักเสบรุนแรงในภายหลัง เนื้อเหงือกที่ตัดออกไปแล้วจะไม่มีการงอกกลับมายาวเท่าเดิม ผลลัพธ์ที่ได้จึงมีความคงทนและเป็นไปอย่างถาวรช่วยให้คุณยิ้มสวยได้อย่างมั่นใจในระยะยาว
2. การตัดเหงือกส่งผลต่อความแข็งแรงของฟันในอนาคตหรือไม่? การตัดเหงือกเป็นการจัดการกับเนื้อเยื่อส่วนเกินที่อยู่ด้านบนตัวฟันไม่ได้เป็นการรบกวนโครงสร้างรากฟันหรือกระดูกรองรับฟันที่สำคัญในเชิงความแข็งแรง หากทำโดยทันตแพทย์ผู้เชี่ยวชาญจะไม่มีผลเสียต่อความมั่นคงของฟันเลย ในทางกลับกันยังช่วยให้การทำความสะอาดบริเวณขอบเหงือกทำได้ง่ายขึ้นลดโอกาสการเกิดฟันผุและโรคเหงือกอักเสบได้อีกด้วย
3. ใช้เวลาในการพักฟื้นนานแค่ไหนหลังจากตัดเหงือกด้วยเลเซอร์? ข้อดีของการตัดเหงือกด้วยเลเซอร์คือใช้เวลาพักฟื้นสั้นมาก โดยปกติแผลจะเริ่มปิดและสมานตัวเบื้องต้นภายใน 24 ถึง 48 ชั่วโมง และจะหายสนิทเป็นปกติภายในเวลาไม่เกิน 1 สัปดาห์ คนไข้สามารถทานอาหารอ่อนๆ และพูดคุยได้ตามปกติตั้งแต่วันแรกที่ทำเสร็จทำให้ไม่กระทบต่อการทำงานหรือการใช้ชีวิตประจำวัน
4. ถ้าจัดฟันอยู่สามารถรับบริการตัดเหงือกปรับรูปหน้าได้เลยไหม? ทันตแพทย์ส่วนใหญ่มักจะแนะนำให้รอจนกว่าจะจัดฟันเสร็จเรียบร้อยและถอดเครื่องมือจัดฟันออกก่อน เพื่อให้ฟันเรียงตัวอยู่ในตำแหน่งที่แน่นอนที่สุดจึงจะทำการตัดแต่งเหงือกเพื่อให้ได้รูปทรงที่สวยงามและสมมาตรที่สุด แต่ในบางกรณีคุณหมออาจจะพิจารณาทำให้ก่อนตามความจำเป็นซึ่งควรปรึกษาทันตแพทย์เจ้าของไข้เป็นรายบุคคล
5. ตัดเหงือกกับตัดเหงือกเพื่อทำวีเนียร์ต่างกันอย่างไร? การตัดเหงือกเพื่อความงามทั่วไปเน้นการปรับระดับเหงือกให้สวยงามเห็นตัวฟันมากขึ้น แต่การตัดเหงือกเพื่อทำวีเนียร์มักจะมีความละเอียดสูงกว่าเพราะต้องออกแบบให้ขอบเหงือกรับกับวัสดุวีเนียร์ที่จะนำมาติดอย่างแม่นยำเพื่อป้องกันปัญหาขอบวีเนียร์หนาหรือเหงือกอักเสบในอนาคต ซึ่งที่ Beyond Smile เรามีความเชี่ยวชาญในงานทั้งสองรูปแบบ
อ่านเพิ่มเติม:





