การกรอฟันคือการแต่งผิวฟันให้มีพื้นที่สำหรับงานบูรณะหรือการปรับรูปทรง เช่น วีเนียร์ ครอบฟัน หรือแต่งขอบเล็กน้อยเพื่อให้สบฟันดีขึ้น หลักคิดสำคัญคือ “เก็บเนื้อฟันให้มากที่สุด” กรอเท่าที่จำเป็นเพื่อให้วัสดุใหม่อยู่ได้พอดี แข็งแรง และทำความสะอาดง่าย ไม่ใช่การกรอโล่งๆ จนเสียเนื้อฟันโดยไม่จำเป็น ยิ่งเทคโนโลยีสแกนในช่องปาก วัสดุที่แข็งแรงขึ้น และการวางแผนด้วยแบบจำลองรอยยิ้มยิ่งช่วยให้กรอน้อยลง แต่ยังได้ผลลัพธ์ที่สวยและใช้งานสบายในระยะยาว
กรอฟัน เจ็บไหม: ระหว่างทำและหลังทำรู้สึกอย่างไร
ระหว่างทำทันตแพทย์จะใช้ยาชาเฉพาะที่บริเวณซี่ที่ต้องกรอ ทำให้ขณะทำคุณไม่เจ็บ อาจรู้สึกสั่นหรือดันเล็กน้อยจากเครื่องกรอและการฉีดน้ำหล่อเย็นเพื่อลดความร้อน หลังทำยาชาหมดฤทธิ์ บางคนอาจมีความเสียวหรือระคายเล็กๆ สองสามวัน โดยเฉพาะบริเวณคอฟันหรือฟันที่รับแรงเคี้ยวสูง วิธีบรรเทาคือหลีกเลี่ยงน้ำเย็นจัด ของกรอบแข็ง ใช้ยาสีฟันสำหรับฟันเสียว และทานยาตามแพทย์สั่ง อาการไม่สบายมักดีขึ้นตามลำดับ หากมีปวดตุบๆ ต่อเนื่องหลายวัน กัดแล้วสะดุ้ง หรือเสียวแม้ไม่ได้กระตุ้น ควรติดต่อคลินิกเพื่อประเมินซ้ำ
ต้องกรอฟันแค่ไหน: ความหนาโดยประมาณและสิ่งที่ทันตแพทย์พิจารณา
ความหนาที่กรอขึ้นกับงานและสภาพฟันเดิม เช่น วีเนียร์พอร์ซเลนทั่วไปมักแตะที่ผิวด้านหน้าเพียงเล็กน้อยเพื่อให้แผ่นวีเนียร์นอนราบและไม่หนาเกิน ขณะที่ครอบฟันต้องครอบคลุมรอบซี่เพื่อเสริมโครงสร้างจึงมักต้องกรอมากกว่า ปัจจัยที่ทำให้กรอมากหรือน้อยได้แก่ การเอียงของฟัน การเรียงตัว วัสดุที่เลือก ความสึก/การอุดเดิม และเป้าหมายความสวยงาม เช่น ปรับความยาว รูปทรง หรือสี การวางแผนล่วงหน้าด้วยการพิมพ์ปากหรือสแกน และทำแบบจำลองคร่าวๆ จะช่วยเห็นภาพชัดว่าต้องขยับเท่าไรจึงพอดี
ปัจจัยที่ทำให้กรอน้อยลงได้
-
เลือกวัสดุที่บางแต่แข็งแรงสำหรับวีเนียร์ เพื่อลดการแตะผิวฟัน
-
จัดฟันปรับตำแหน่งก่อนงานบูรณะ ทำให้กรอเพียงแต่งผิวบางส่วน
-
ออกแบบรอยต่อให้เข้ากับสภาพฟันเดิม ลดการกรอส่วนที่ไม่จำเป็น
-
ใช้การวางแผนดิจิทัลและชิ้นงานชั่วคราวเพื่อทดสอบก่อนทำจริง

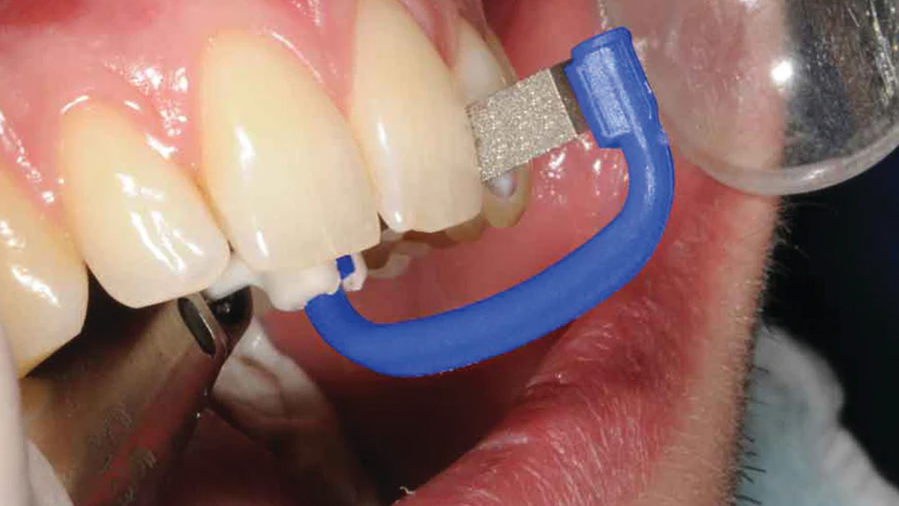
กรอฟัน ทำวีเนียร์: ต่างจากการกรอเพื่อครอบฟันยังไง
งานวีเนียร์เน้นปรับผิวด้านหน้าเพื่อแก้เรื่องสี รูปทรง ช่องว่างเล็กน้อย หรือรอยแตกตื้นๆ การกรอมักอยู่ในชั้นผิวบางๆ เพื่อให้แผ่นวีเนียร์แนบสนิท ดูเป็นธรรมชาติ และทำความสะอาดขอบได้ง่าย ส่วนครอบฟันใช้เมื่อโครงสร้างฟันอ่อนแอ เช่น อุดใหญ่ ฟันแตกกว้าง หรือฟันหลังที่รับแรงเคี้ยวมาก จำเป็นต้องครอบรอบตัวเพื่อรับแรงและปกป้องเนื้อฟันที่เหลือ ความแตกต่างจึงอยู่ที่ปริมาณกรอ พื้นที่ที่ยุ่งเกี่ยว และเหตุผลของการทำงานนั้นๆ
กรอฟัน ครอบฟัน: กรณีที่เหมาะและข้อดีข้อจำกัด
ครอบฟันเหมาะเมื่อต้องการเพิ่มความแข็งแรงทั้งซี่ เช่น หลังรักษารากฟัน ฟันมีรอยแตกหลายทิศทาง ฟันหลังมีอุดใหญ่หรือสึกมาก ข้อดีคือช่วยกระจายแรง ลดโอกาสแตกซ้ำ และปรับรูปทรงให้สบฟันดีขึ้น ข้อจำกัดคือมักต้องกรอรอบซี่มากกว่าวีเนียร์ ใช้เวลาหลายขั้นตั้งแต่เตรียมฟัน ทำชิ้นงานชั่วคราว ไปจนถึงยึดชิ้นงานถาวร การดูแลจึงต้องใส่ใจเรื่องความสะอาดขอบครอบและการนัดติดตามผลอย่างสม่ำเสมอ

ต้องเตรียมตัวยังไงก่อนกรอฟัน
เริ่มจากแจ้งข้อมูลสุขภาพให้ครบ เช่น โรคประจำตัว ยาที่ทานอยู่ ภูมิแพ้ และนิสัยกัดฟันตอนนอน ถัดมาคือการตรวจและวางแผน เช่น ถ่ายภาพ เอกซเรย์ สแกนหรือพิมพ์ปาก เพื่อประเมินความหนาฟัน ระดับเหงือก และแนวสบฟัน จากนั้นคุยเรื่องเป้าหมายให้ชัดเจนทั้งรูปทรง ความยาว สีฟัน และงบประมาณ หากเป็นงานความสวยงาม ควรทดลองสวมแบบจำลองคร่าวๆ เพื่อดูความเข้ากันของรอยยิ้ม การออกเสียง และการทำความสะอาด ก่อนลงมือทำจริงจะได้มั่นใจและกรอเท่าที่จำเป็นจริงๆ
หลังกรอฟันดูแลยังไงให้สบายและงานอยู่ทน
สองสามวันแรกให้ระวังของเย็นจัด ของกรอบแข็ง และการกัดเนื้อแข็งตรงบริเวณที่เพิ่งทำ อาจเสียวบ้างแต่ควรค่อยๆ ดีขึ้น แปรงขนนุ่ม ยาสีฟันสำหรับฟันเสียว และทำความสะอาดขอบชิ้นงานให้สม่ำเสมอ ถ้ามีชิ้นงานชั่วคราว ควรเลี่ยงอาหารเหนียวมากและแปรงเบาบริเวณขอบเพื่อไม่ให้หลุด นัดติดตามตามคิวเพื่อเช็กการสบฟัน ความแนบขอบ และการดูแลเหงือก ระหว่างนี้ถ้ามีสัญญาณผิดปกติ เช่น ปวดตุบๆ หลายวัน กัดแล้วจี้หรือเสียวแม้ไม่ได้กระตุ้น ให้ติดต่อคลินิกทันทีเพื่อปรับแก้
เข้าใจความเสี่ยงและวิธีลดความเสี่ยง
ความเสี่ยงที่พบได้คือความเสียวชั่วคราว ขอบวัสดุไม่สนิท คราบสะสมที่ขอบจนเหงือกอักเสบ และในบางกรณีอาจต้องปรับแต่งการสบฟันซ้ำ วิธีลดความเสี่ยงคือวางแผนให้รอยต่อเรียบ ทำความสะอาดง่าย ขัดมันชิ้นงานให้ลื่น ไม่คม ขอบอยู่ในตำแหน่งที่แปรงและใช้ไหมได้สะดวก รวมถึงการนัดตรวจตามระยะเพื่อแก้ไขตั้งแต่จุดเล็กๆ ไม่ปล่อยให้กลายเป็นเรื่องใหญ่ในภายหลัง
แตกต่างกันอย่างไร: กรอเพื่อความสวยงาม vs กรอเพื่อการรักษา
การกรอเพื่อความสวยงามมักแต่งเฉพาะผิวเพื่อจัดสัดส่วนรอยยิ้ม เช่น ปรับความยาวเล็กน้อย ปิดช่องว่าง หรือปรับขอบให้เรียบ ส่วนการกรอเพื่อการรักษาใช้เมื่อมีปัญหาโครงสร้าง เช่น ฟันแตก ฟันผุขนาดใหญ่ หรือฟันหลังรับแรงมากและสึกจนบาง จุดตัดสินใจสำคัญคือฟันซี่นั้นต้องการ “ความทน” มากแค่ไหน หากต้องการรับแรงมากขึ้น ครอบฟันมักเป็นคำตอบ แต่ถ้าโครงสร้างยังดี วีเนียร์หรือแต่งผิวบางส่วนก็เพียงพอ เป้าหมายสูงสุดคือรักษาเนื้อฟันเดิมให้มากที่สุดเสมอ
คำถามชวนคิดก่อนตัดสินใจกรอฟัน
-
เป้าหมายของฉันคือความสวยงาม ความแข็งแรง หรือทั้งสองอย่าง
-
จำเป็นต้องจัดฟันก่อนเพื่อให้กรอน้อยลงไหม
-
วัสดุที่เลือกมีความหนาขั้นต่ำเท่าไร และกระทบปริมาณการกรอแค่ไหน
-
มีทางเลือกที่ไม่กรอหรือกรอน้อยลงสำหรับเคสของฉันหรือไม่
-
ขอบงานจะทำความสะอาดง่ายแค่ไหน และแผนติดตามหลังทำเป็นอย่างไร
-
หากเกิดอาการเสียวหรือขอบงานไม่แนบ มีขั้นตอนแก้อย่างไร
สรุปภาพรวม: กรอฟันอย่างพอดี ได้ผลลัพธ์สวยและใช้งานสบาย
การกรอฟันที่ดีคือการบาลานซ์ระหว่างความสวย ความแข็งแรง และการดูแลความสะอาดในชีวิตจริง เริ่มจากวางแผนร่วมกับทันตแพทย์ให้ชัด เลือกวัสดุที่เหมาะสม และใช้เทคนิคที่ช่วยประหยัดเนื้อฟันมากที่สุด เมื่อทำเสร็จแล้วดูแลขอบงานให้สะอาด นัดติดตามตามระยะ และสังเกตสัญญาณผิดปกติเล็กๆ ตั้งแต่เนิ่นๆ เพียงเท่านี้คุณก็ได้งานที่สวย ใช้งานดี และอยู่กับคุณได้ยาวนาน
คำถามที่พบบ่อย
กรอฟัน คืออะไร ต่างจากการถอนฟันยังไง?
การกรอฟันคือการแต่งผิวฟันเพื่อใส่วัสดุใหม่หรือปรับรูปทรง ยังเก็บรากและเนื้อฟันส่วนใหญ่ไว้ ขณะที่การถอนฟันคือการเอาทั้งซี่ออก การกรอมุ่งให้ชิ้นงานพอดี แข็งแรง และทำความสะอาดง่าย โดยคงโครงสร้างเดิมไว้มากที่สุด
กรอฟัน เจ็บไหม?
ระหว่างทำใช้ยาชาเฉพาะที่จึงไม่เจ็บ มีเพียงความรู้สึกสั่นจากเครื่องกรอ หลังทำอาจเสียวเล็กน้อยสองสามวัน แนะนำหลีกเลี่ยงของเย็นจัด ใช้ยาสีฟันสำหรับฟันเสียว และรับยาตามแพทย์สั่ง หากปวดตุบๆ หลายวันให้ติดต่อคลินิกเพื่อประเมินซ้ำ
กรอฟันเพื่อวีเนียร์ต้องกรอเยอะไหม?
ส่วนใหญ่แตะผิวด้านหน้าบางๆ เพื่อให้แผ่นวีเนียร์แนบและดูธรรมชาติ ปริมาณจริงขึ้นกับตำแหน่งฟัน วัสดุ และเป้าหมายรอยยิ้ม ยิ่งวางแผนดีและจัดฟันก่อน (ถ้าจำเป็น) มักกรอน้อยลง
ต่างกันอย่างไรระหว่างกรอฟันทำวีเนียร์กับครอบฟัน?
วีเนียร์แตะผิวด้านหน้าเพื่อแก้เรื่องสีและรูปทรงเล็กน้อย ส่วนครอบฟันครอบรอบซี่เพื่อเสริมความแข็งแรง เหมาะกับฟันแตกกว้าง อุดใหญ่ หรือฟันหลังที่รับแรงมาก ปริมาณกรอของครอบฟันจึงมากกว่าวีเนียร์
ต้องเตรียมตัวยังไงก่อนกรอฟัน?
แจ้งโรคประจำตัว ยาที่ทานอยู่ และนิสัยกัดฟัน ตรวจเอกซเรย์/สแกนเพื่อวางแผน คุยให้ชัดเรื่องรูปทรง สี งบ และทดลองแบบจำลองรอยยิ้มถ้าทำได้ การเตรียมพร้อมทำให้กรอเท่าที่จำเป็นและได้ผลลัพธ์ตรงใจ
ดูแลยังไงหลังกรอฟันให้สบายและงานอยู่ทน?
ช่วงแรกหลีกเลี่ยงของเย็นจัดและแข็งมาก แปรงขนนุ่ม ใช้ไหมสม่ำเสมอ และทำความสะอาดขอบงานให้ดี นัดติดตามตามคิวเพื่อเช็กการสบฟันและสุขภาพเหงือก หากมีปวดตุบๆ หรือกัดแล้วเจ็บ ควรกลับไปให้หมอปรับแก้
กรอฟันมีความเสี่ยงอะไรบ้าง?
อาจมีเสียวชั่วคราว คราบสะสมที่ขอบงาน หรือขอบวัสดุไม่แนบสนิท การวางแผนรอยต่อให้เรียบ ขัดมันชิ้นงาน และนัดตรวจเป็นระยะ ช่วยลดความเสี่ยงและแก้ไขได้ตั้งแต่ต้นทาง
มีทางเลือกที่ไม่ต้องกรอฟันไหม?
ขึ้นกับปัญหา ถ้าเป็นเรื่องตำแหน่งฟันหรือช่องว่างเล็กๆ การจัดฟันหรือคอมโพสิตบอนดิ้งแบบแตะผิวอาจเพียงพอ ให้ปรึกษาทันตแพทย์เพื่อประเมินทางเลือกที่เก็บเนื้อฟันมากที่สุดสำหรับเคสของคุณ
แนะนำคลินิกทันตกรรม
หากอยากวางแผนกรอฟันแบบ “พอดีและพอเหมาะ” เพื่อให้ได้งานที่สวย แข็งแรง และดูแลง่าย แนะนำ Beyond Smile Dental Clinic ทีมทันตแพทย์จะช่วยประเมินอย่างละเอียด วางแบบรอยยิ้ม ทดลองชิ้นงานชั่วคราว และเลือกวัสดุที่เหมาะกับคุณ ทั้งงานวีเนียร์ ครอบฟัน หรือการแต่งผิวเล็กน้อย พร้อมคำแนะนำการดูแลหลังทำและนัดติดตามอย่างเป็นระบบ เพื่อให้คุณยิ้มสบาย เคี้ยวมั่นใจ และใช้งานได้นานในชีวิตประจำวัน
อ่านเพิ่มเติม:





